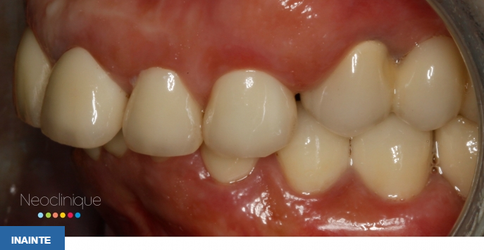
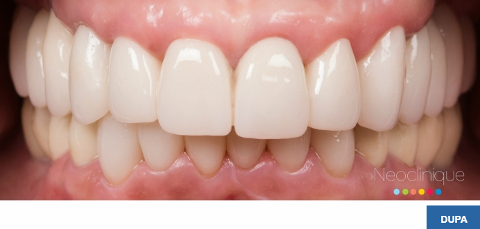
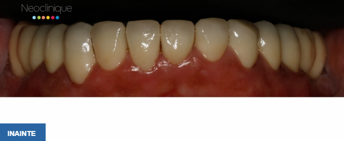
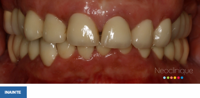
Tratament complex de reabilitare dentară funcțională și estetică.
A fost necesară colaborarea între medicii specialiști pentru tratamentul parodontal, endodontic și protetic cu coroane integral ceramice și coroane pe zirconiu.
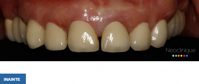
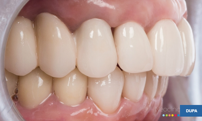
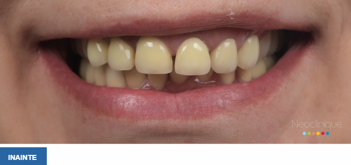
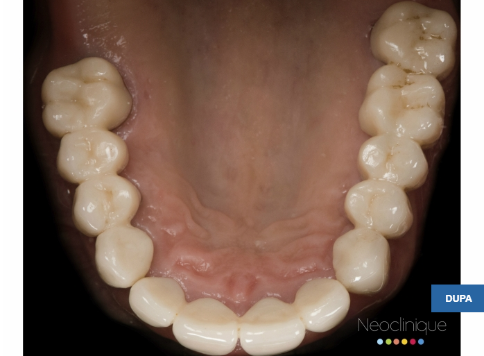
Tratament complex de reabilitare dentară funcțională și estetică.
A fost necesară colaborarea între medicii specialiști pentru tratamentul parodontal, endodontic și protetic cu coroane integral ceramice și coroane pe zirconiu.