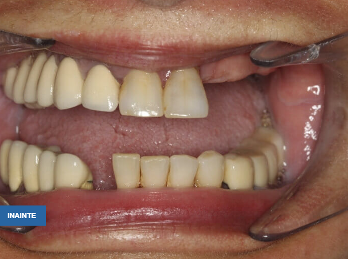
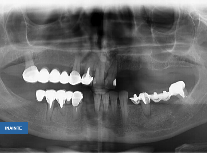
Pacienta în vârstă de 46 ani se prezintă în clinică având edentație uniterminală bimaxilară (maxilar 1 modificare, mandibulă 4 modificari) cu parodontopatie marginală cronică profundă, dinții prezentând mobilitate grad 3, o proteză mobilă parțial acrilică incorect adaptată campului edentat cauzând inflamația mucoaselor pe care se sprijinea, restaurări protetice fixe metalo-ceramice incorect adaptate, unele fixate provizoriu pe bonturi fracturate, reacții periapicale.








