Acest site folosește cookies. Continuarea navigării implică acceptarea lor. Mai multe informatii aici
OK

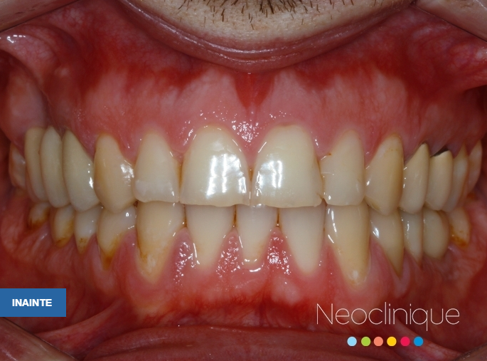
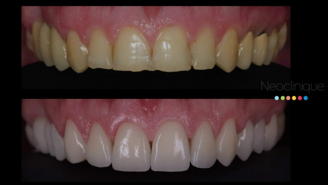
Reabilitate estetică

Claudiu, pacient Neoclinique

Claudiu și-a dorit că forma și culoarea dinților lui să fie mult îmbunătățite. Rezultatul final a fost exact așa cum și-a imaginat: uimitor!

Etape de lucru

 

Am obținut rezultatul dorit prin:

  • egalizarea nivelului gingival;
  • fațete și coroane din ceramică realizate prin tehnica copierii naturii la arcada superioară;
  • albire la arcada inferioară.

Echipa de lucru

  • Dr. Eliza Popa;
  • Dr. Marie-Lise Garzon;
  • Laborator Digital Metalab;
  • Tehnician Brenda Cindea;
  • KPG Catalina Visovan;
  • KPG Simona Giurca.