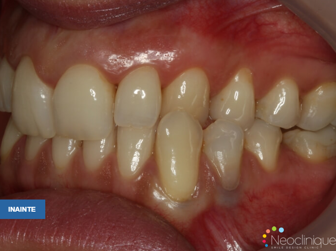
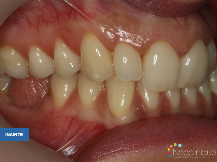
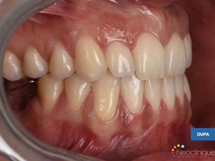
Georgiana a ales aparatul dentar ceramic pentru ca își dorea să modifice micile imperfecțiuni estetice ale dinților, în final rezultatul fiind atât estetic, cât și funcțional un succes.
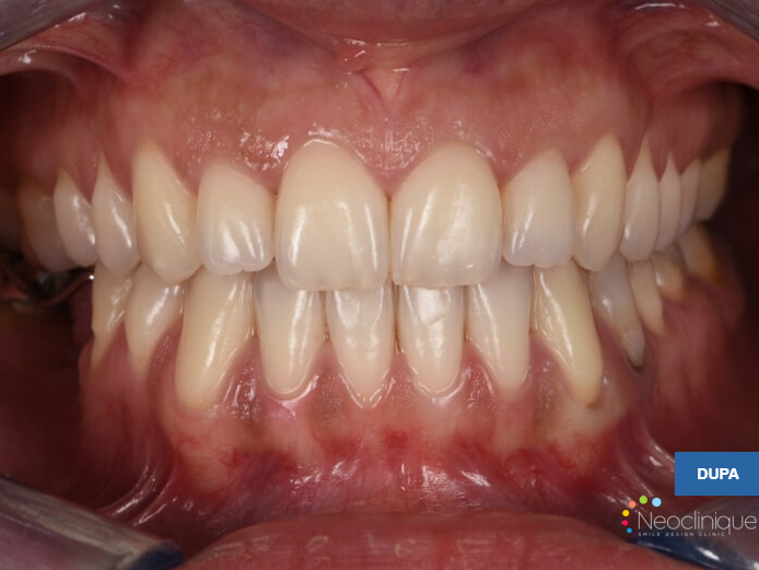
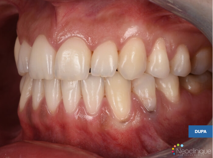
Tratamentul cu aparat dentar arată în final atât de frumos și natural în același timp, încât nu este necesară aplicarea fațetelor dentare pentru estetică.
Echipa de lucru
- Doctor Irima Marius














