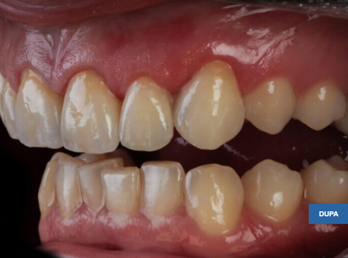
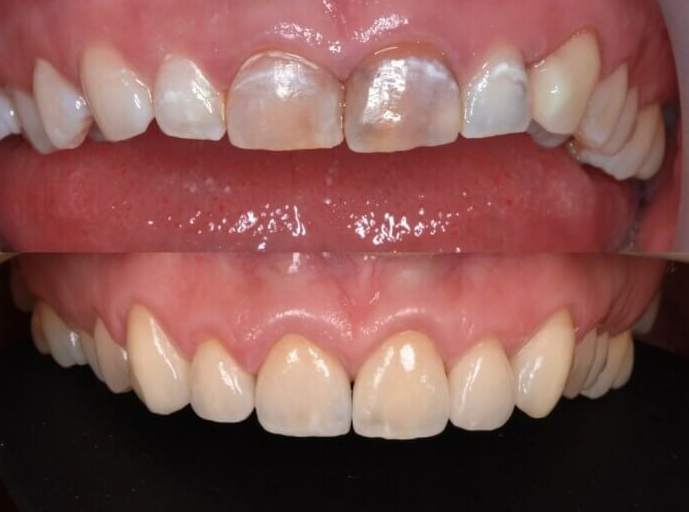
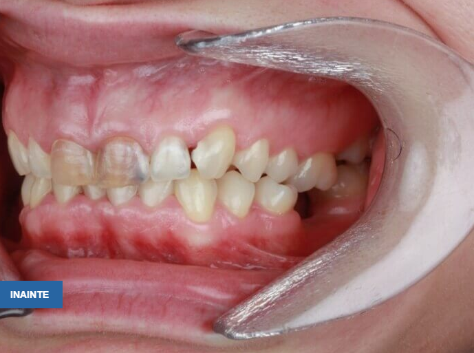
Reabilitare estetică cu 6 coroane ceramică E-max (canin-canin superior), tratamente de canal, remodelare gingivală și albire internă (11, 21).
Yasmine, o tânără fotomodel care nu zâmbea niciodată în fotografii. Dorința ei a fost simplă: un zâmbet de Hollywood.
Diana este din Londra, Marea Britanie și a ales Neoclinique având încredere că va obține un tratament de înaltă calitate.