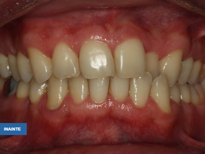
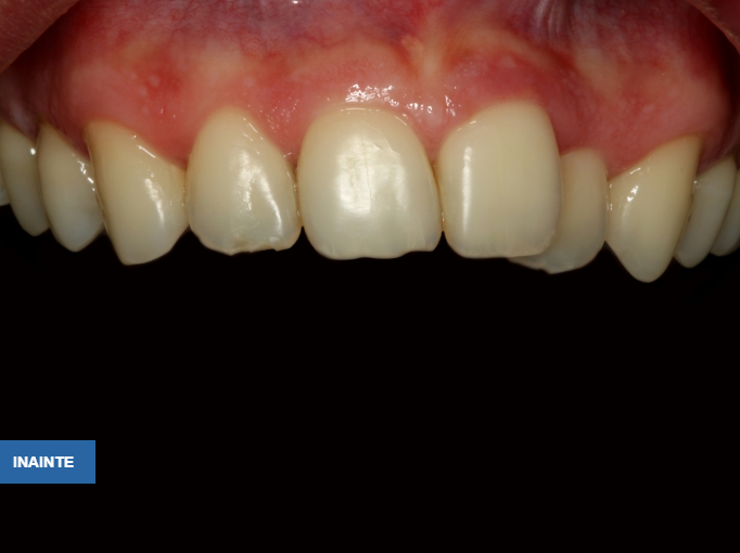
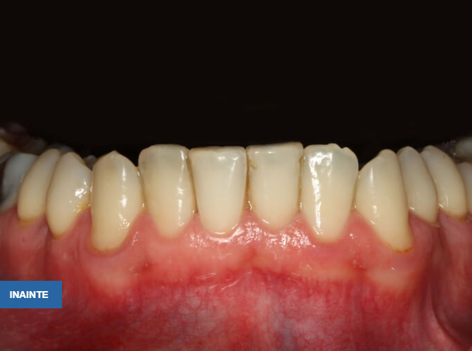
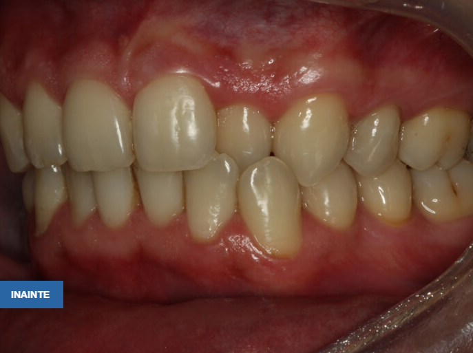
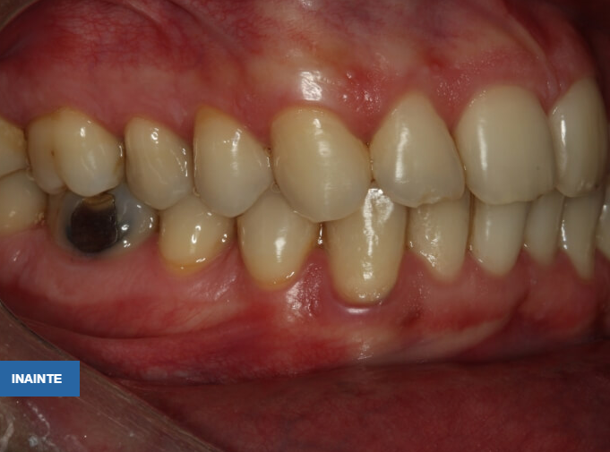
Ovidiu este unul din pacienții noștri curajoși care a acceptat printre primii să previzualizăm finalul planului de tratament printr-un Proiect Digital Smile Design.
Ovidiu este unul din pacienții noștri curajoși care a acceptat printre primii să previzualizăm finalul planului de tratament printr-un Proiect Digital Smile Design.
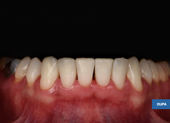
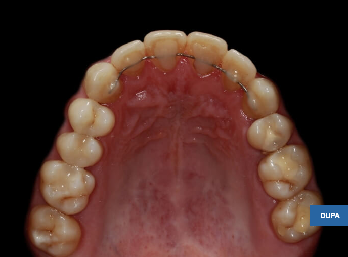
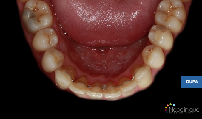
Durata tratament - aproximativ 16 luni























