Acest site folosește cookies. Continuarea navigării implică acceptarea lor. Mai multe informatii aici
OK

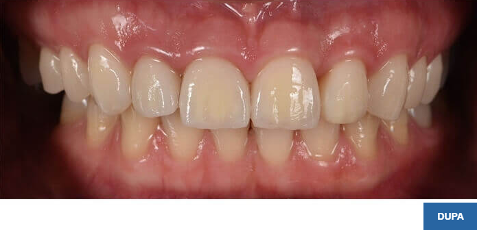
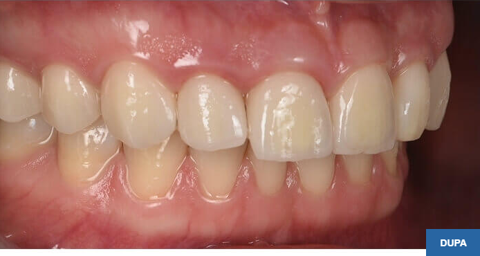
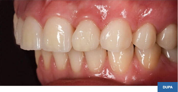
Reabilitare estetică

Anca, pacient Neoclinique

Cazul Ancai a fost unul complex de estetică dentară la care s-a lucrat în echipă pentru un rezultat perfect!

Etape de lucru

 

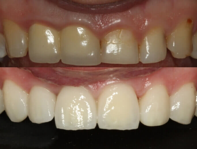
  • Inițial s-a realizat proiectul estetic folosind sistemul Digital Smile Design (DSD) prin care s-a obținut simularea zâmbetului dorit;
  • A urmat apoi tratamentul ortodontic pentru a muta dinții în pozițiile conform proiectului DSD (aparatul s-a purtat pe o perioadă de aprox. un an);
  • Etapa finală a constat în pregătirea dinților în vederea amprentării și cimentării a 4 coroane dentare și 6 fațete dentare din ceramiă presată;
  • Ca o completare a planului estetic s-a modificat și volumul buzelor prin adăugare de acid hialuronic.

Echipa de lucru

 

  • Doctor Popa (Munteanu) Eliza;
  • Doctor Irimia Marius,