Acest site folosește cookies. Continuarea navigării implică acceptarea lor. Mai multe informatii aici
OK

Reabilitare Dentară

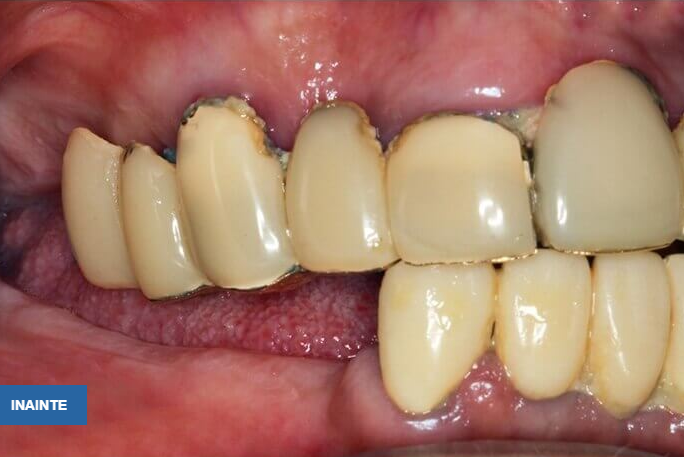
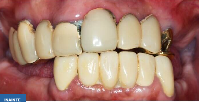
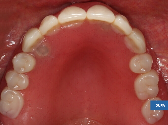
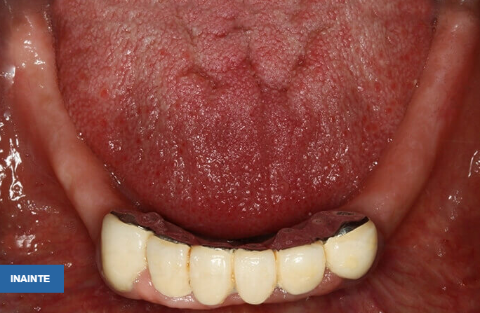
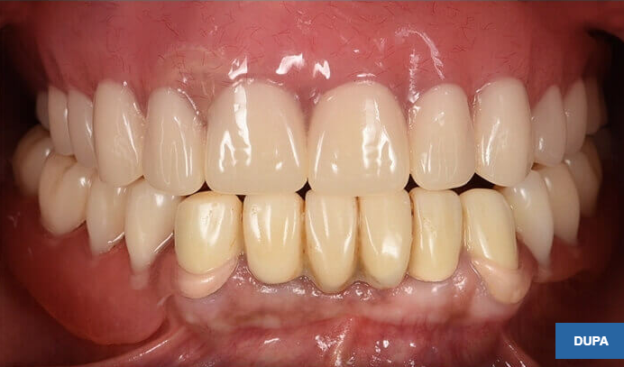
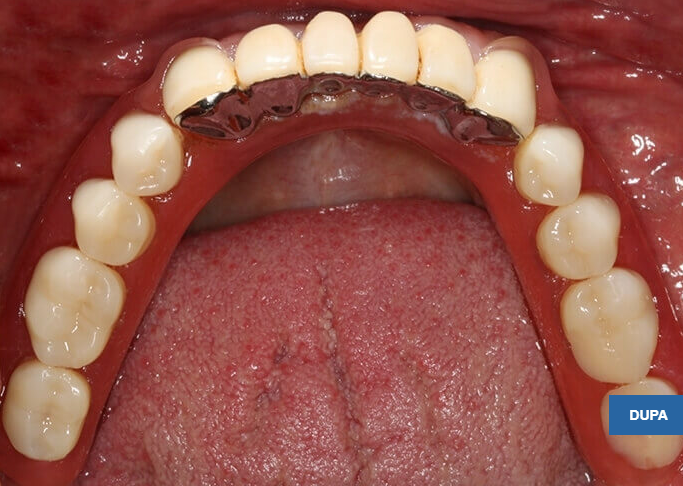
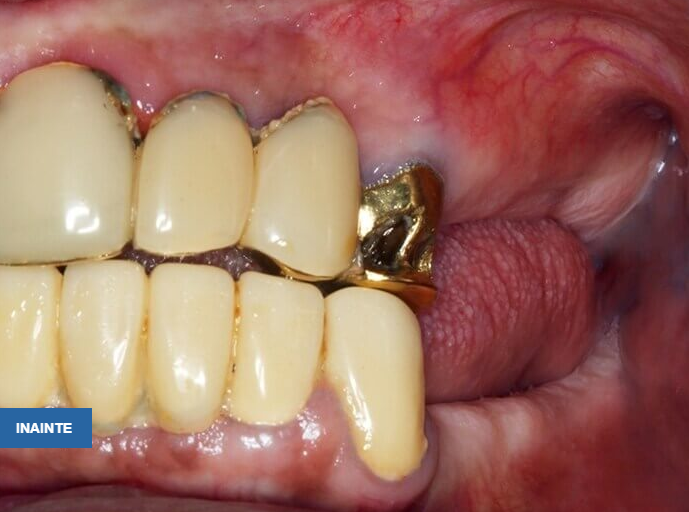
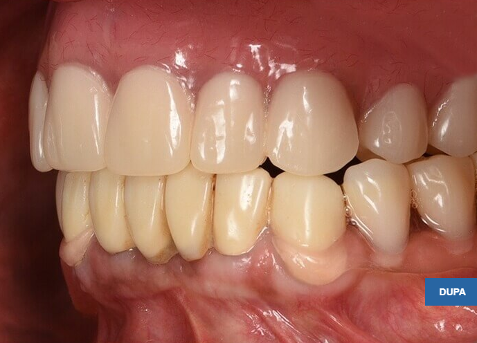
Reabilitare orală cu proteză flexibilă la arcada inferioară și proteză total acrilică pe magneți (11,24) la arcada superioară.

 

Echipa de lucru

  • Doctor Eliza Popa