Acest site folosește cookies. Continuarea navigării implică acceptarea lor. Mai multe informatii aici
OK

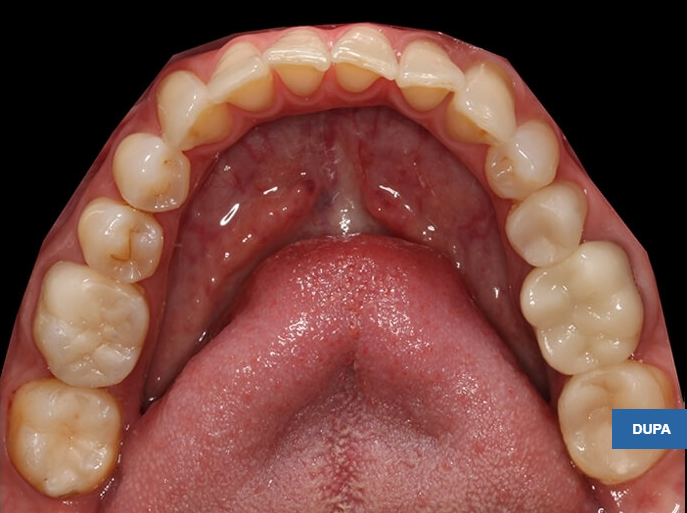
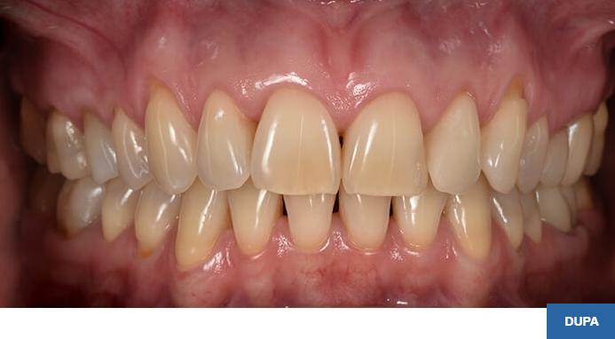
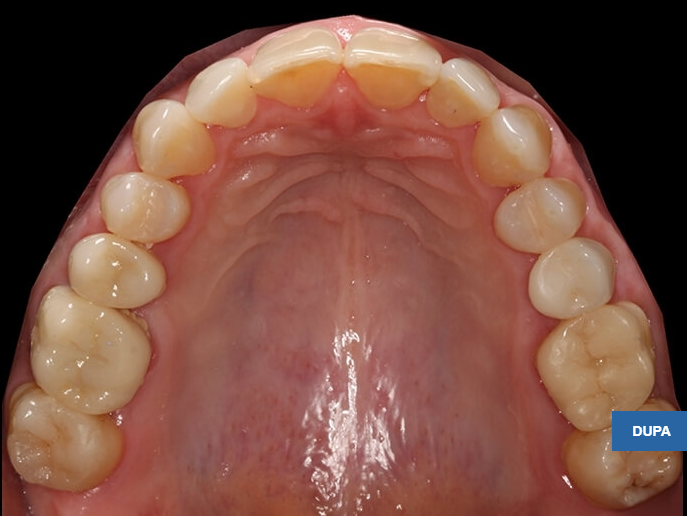
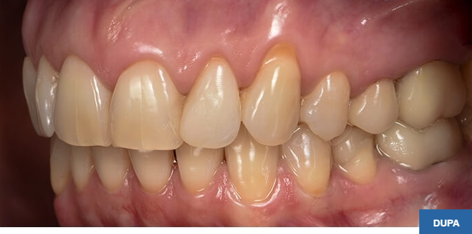
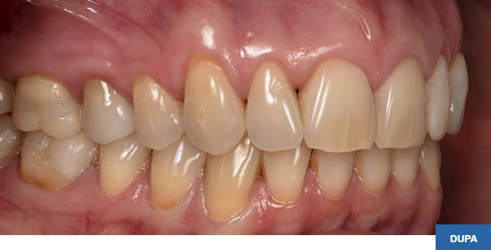
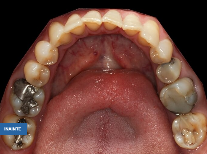
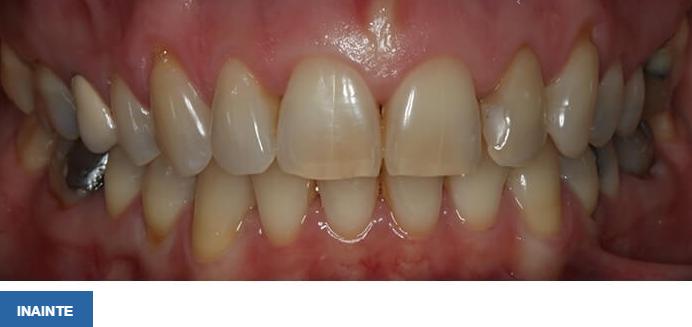
Reabilitate funcțională

Andreea, pacient Neoclinique

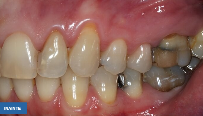
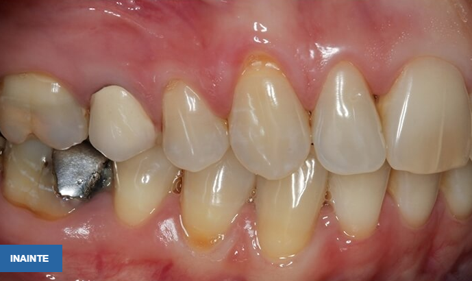
Doamna Andreea a ales Neoclinique pentru rezolvarea nemulțumirilor funcționale și estetice pe care le aveau dinții ei.

Etape de lucru

  • Tratamentul a fost complex;
  • Au fost efectuate intervenții parodontale (3 alungiri coronare);
  • 10 retratamente de canal;
  • 7 reconstrucții dentare cu material compozit (plombe);
  • 9 reconstrucții dentare cu material ceramic (incrustații și coroane dentare);
  • o reconstrucție dentară ceramică pe suport din zirconiu.

Echipa de lucru

  • Doctor Anca Irimia
  • Doctor Alina Dima