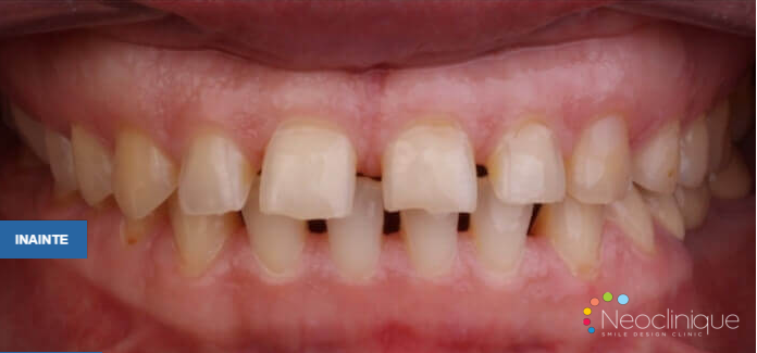
Ana a venit la noi cu dorința de a-și îmbunătăți aspectul zâmbetului.
Ea locuiește în Spania și a ales Neoclinique în 2015 pentru serviciile de estetică dentară.
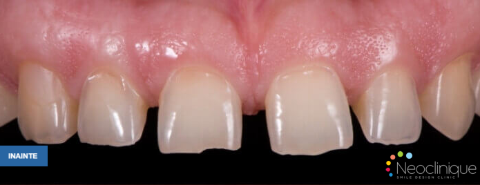
Ana a venit la noi cu dorința de a-și îmbunătăți aspectul zâmbetului.
Ea locuiește în Spania și a ales Neoclinique în 2015 pentru serviciile de estetică dentară.
Pentru a avea toate informațiile necesare studierii cazului a fost nevoie de următoarele:













