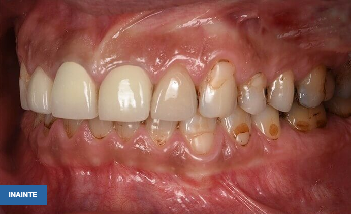
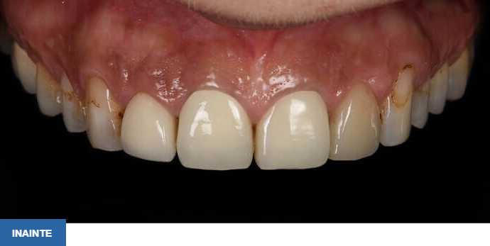
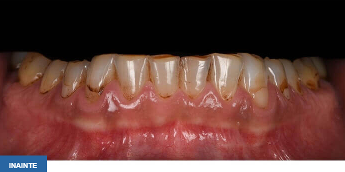
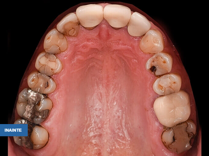
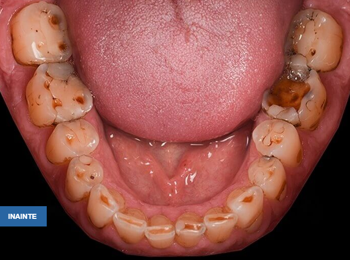
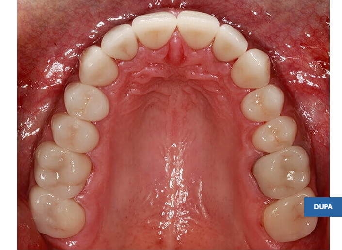
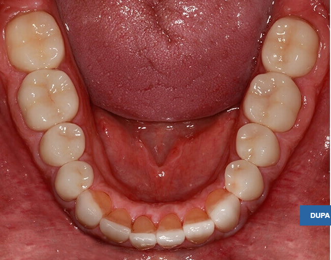
Diana este o persoană practică și a venit în clinică având dorința de a-și rezolva toate problemele dentare.
Diana este din Londra, Marea Britanie și a ales Neoclinique având încredere că va obține un tratament de înaltă calitate.
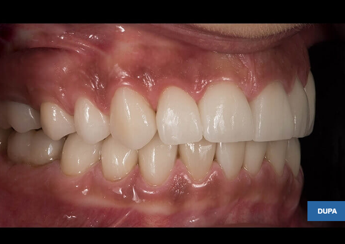
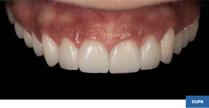
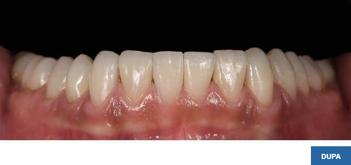
Colaborarea a fost excelentă, iar rezultatul este minunat.

















