Acest site folosește cookies. Continuarea navigării implică acceptarea lor. Mai multe informatii aici
OK

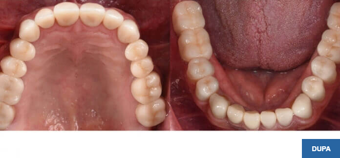
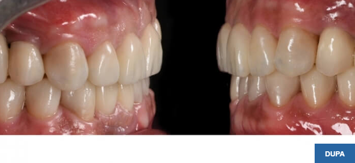
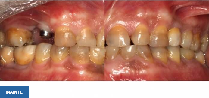
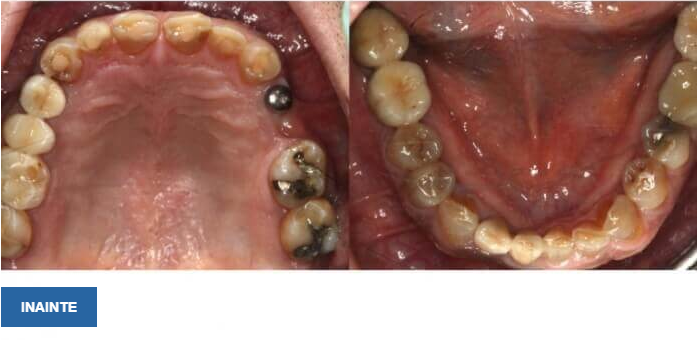
Reabilitare estetică

Ioannis, Cipru, pacient Neoclinique

Ioannis este din Cipru.

 

A venit la Neoclinique hotărât să își rezolve complet problemele stomatologice și a fost foarte încântat de rezultate.

 

A doua poză este de la consultația de control după 5 ani, comparativ cu situația inițială.

Etape de lucru

 

  • caz de reabilitare totală cu 8 implanturi dentare;
  • adiții osoase;
  • tratamente endodontice;
  • coroane dentare de ceramică E-max.

Echipa de lucru

 

  • Dr. Eliza Popa;
  • Dr. Mircea Gheorghita;
  • KPG Catalina Visovan;
  • KPG Simona Giurca.