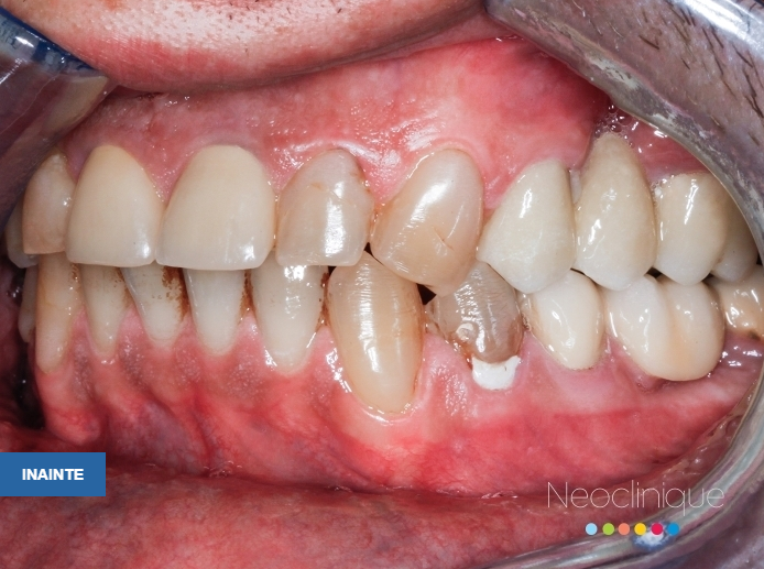
Când dinții nu sunt sănătoși, există de carii sau lucrări de proastă calitate, percepția celorlalți este una nefavorabilă.
Putem schimba percepția celor din jur făcând o îmbunătățire în acest sens.
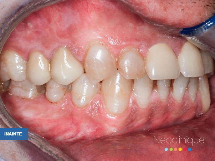
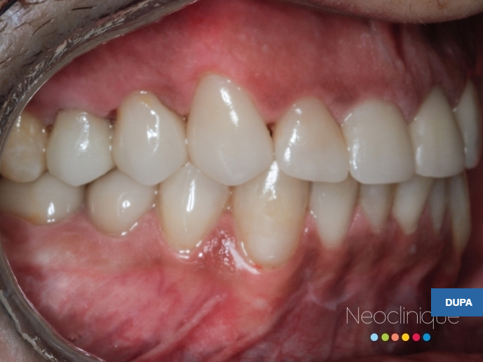
Când dinții nu sunt sănătoși, există de carii sau lucrări de proastă calitate, percepția celorlalți este una nefavorabilă.
Putem schimba percepția celor din jur făcând o îmbunătățire în acest sens.
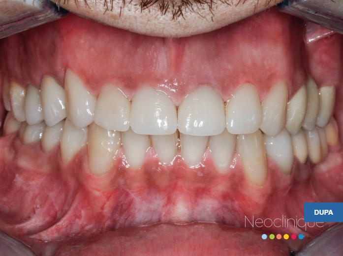
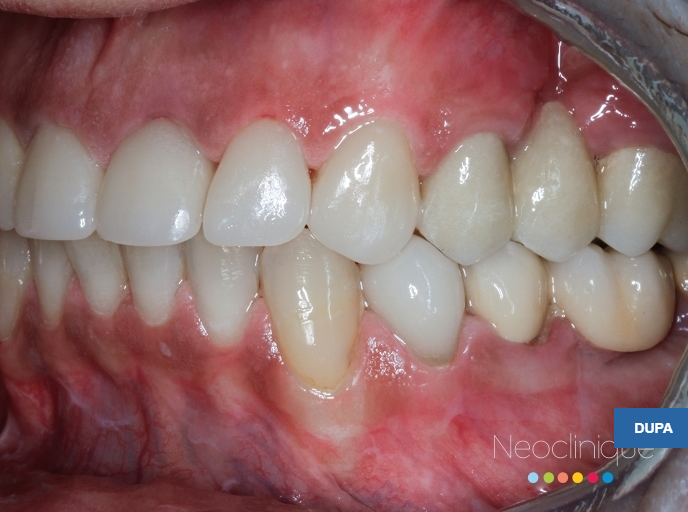
Timp de lucru: 4 luni




















