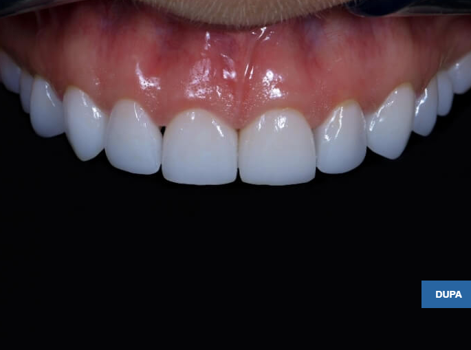
Simona a suferit încă din copilărie de complexul unor dinți mici și spațiați. Un zâmbet îmbunătățit i-a adus încrederea în propria persoană.
Simona a suferit încă din copilărie de complexul unor dinți mici și spațiați. Un zâmbet îmbunătățit i-a adus încrederea în propria persoană.
Timp de lucru: 2 luni










