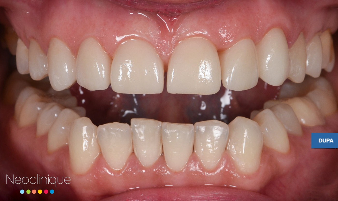
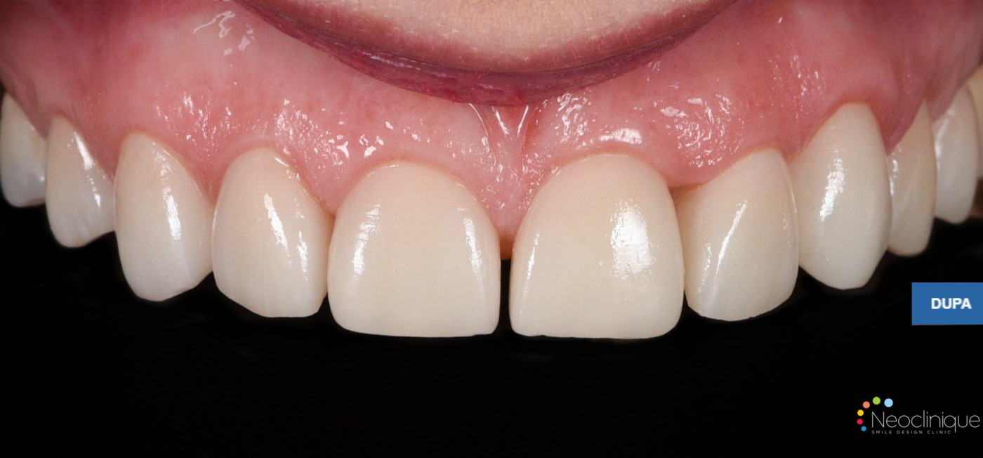
Prima vizită a doamnei Bobocel în clinică a fost pentru că își dorea un zâmbet mai frumos.
Fiind o persoană veselă și pozitivă, a fost o plăcere să lucrăm împreună.
Am stabilit împreună design-ul final al zâmbetului în urma unui proiect DSD și planul de tratament atât estetic cât și funcțional.















