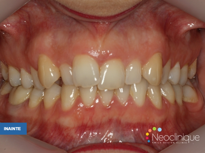
Raluca, în vârstă de 28 de ani, și-a dorit un zambet de nota 10.
A apelat la Neoclinique pentru a o ajuta să obțină ceea ce își dorea, iar noi i-am îndeplinit dorința!
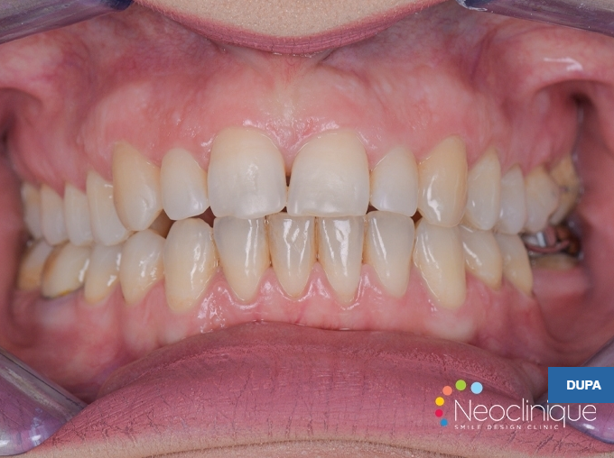
Raluca, în vârstă de 28 de ani, și-a dorit un zambet de nota 10.
A apelat la Neoclinique pentru a o ajuta să obțină ceea ce își dorea, iar noi i-am îndeplinit dorința!









