Dr. Irimia Anca
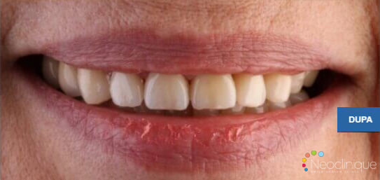
Ana a venit la noi cu dorința de a-și îmbunătăți aspectul zâmbetului. Ea locuiește în Spania și a ales Neoclinique în 2015 pentru serviciile de estetică dentară.
Ovidiu este unul din pacienții noștri curajoși care a acceptat printre primii să previzualizăm finalul planului de tratament printr-un Proiect Digital Smile Design.